820 W Laraway Rd, New Lenox, IL 60451
Experiencing an emergency? We will see you same day!
Call Us: (815) 242-9594
We serve our patients Early, Late, and even on Saturdays!

Welcome to Nelson Ridge Family Dental of New Lenox, IL!
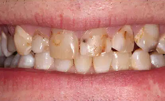
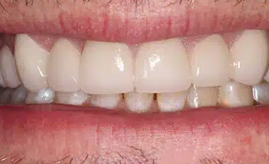
Nelson Ridge Family Dental is one of the best dental practices in New Lenox, IL. The practice is run by experienced dentists who provide excellent patient care. The office offers various dental care services, including fillings, crowns, tooth extractions, and much more.
With our highly-skilled New Lenox general dentists, in-house oral surgeon, in-house endodontist and our compassionate care team, we provide exceptional dental care for the New Lenox community & surrounding areas. With our early morning/late evening office hours and our advanced technology, we are changing the way people think and feel about dentistry.
Our dental office was established in 2012, and since then, we have provided quality and gentle dental treatment to our community. We are currently serving patients in New Lenox, Manhattan, Elwood, Mokena, Homer Glen, Joliet, Frankfort, Orland Park and many more surrounding Illinois towns.







































